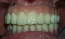
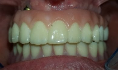
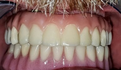
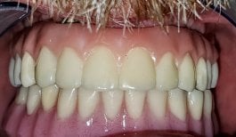
أجرى الدكتور ماريو غاريباي أكثر من 900 إجراء من نوع All-on-4 على مدار 25 عاماً، وهو متخصص في زراعة الأسنان والتركيبات السنية. تبلغ تكلفة العلاج حوالي 8,990 دولاراً، وتشمل عادةً غرسات Straumann، والتصوير المقطعي المحوسب (CBCT)، والأشعة السينية البانورامية. تلقى الدكتور غاريباي تدريبه في جامعة فيراكروزانا وأتم تدريباً متقدماً في جامعة لوما ليندا. تستخدم عيادة SoftDentalCare علامات تجارية رائدة مثل Straumann و3M، وتتمتع بخبرة تمتد لـ 17 عاماً في خدمة المرضى الدوليين في لوس ألغودونيس.








