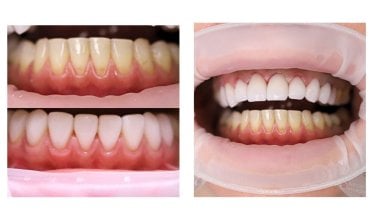
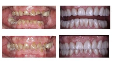
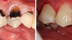
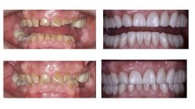
يقدم مركز Smile Centrum علامات تجارية متميزة لزراعة الأسنان مثل Straumann وAnkylos لتيجان الخزف المصهور بالمعدن، وتتراوح تكلفة الإجراءات عادةً بين 31,800 و51,800 كرونة تشيكية. تجري العيادة أكثر من 70,000 علاج للأسنان سنوياً في مواقع متعددة في براغ. يضمن التصوير المقطعي المحوسب (CBCT) وضع الغرسة بدقة، مع توفر خيارات للتيجان المؤقتة في نفس اليوم أو الأساليب التقليدية ثنائية المرحلة. يشمل السعر التقديري الغرسة والتاج وإقامة في المستشفى لمدة يوم واحد.








