العودة إلى الصفحة الرئيسية

كيف نعمل؟

لقد قمنا بتحويل عملية البحث عن العيادة، وجعلناها بسيطة وسريعة وشخصية.
أجب عن بعض الأسئلةقم بإجراء اختبار قصير لمشاركة أهدافك تقويم الأسنان بتقنية الانفيزالاين الخاصة بك.
احصل على عروض مخصصة٣ عيادات تم اختيارها بعناية بناءً على إجاباتك، ستقدّم خطط علاج وتقديرات تكلفة مخصصة لك.
اختر الخيار الأفضلقارن بين العروض واختر العيادة الأنسب لك.
يمكنك أيضًا تصفح 22 عيادة أدناه.
820К+ مريضًا حصلوا على المساعدة منذ عام 2014
50 دول
1,500 عيادات
6K+ تقييمات
3K+ طبيب مؤهل

ما هي تكلفة تقويم الأسنان بتقنية الانفيزالاين في تايلاند؟ اكتشف الآن

تتراوح تكلفة تقويم إنفزالاين في تايلاند بين $2,700 و $4,300. يعتمد السعر النهائي على مدى تعقيد الحالة، وعدد قوالب التقويم المطلوبة، وموقع العيادة. يوفر المرضى حوالي _price_percent_discount_% مقارنةً بالمملكة العربية السعودية، حيث يبلغ متوسط السعر _price_compare_SA_average_. تشمل معظم الباقات الاستشارة الأولية، والمسح الرقمي ثلاثي الأبعاد iTero، وجميع قوالب التقويم اللازمة.

  • إنفزالاين إكسبرس: أقل تكلفة بنسبة 30-50% من العلاج الشامل للحالات البسيطة من تزاحم الأسنان.
  • إنفزالاين الشامل: ترتفع تكلفته نظراً لتوفير عدد غير محدود من القوالب وتصحيح العضات المعقدة.
  • الخدمات التشخيصية: عادةً ما تُضاف رسوم إضافية بسيطة لتشمل الأشعة السينية وأشعة مقطعية متخصصة.
  • الموقع الجغرافي: تضم المدن الرئيسية مثل بانكوك وبوكيت وتشيانغ ماي مراكز متميزة لطب الأسنان الدولي.

رأي خبراء Bookimed: اختيار مزود يقدم خدماته لعدد كبير من المرضى يضمن خبرة وقيمة أفضل. على سبيل المثال، يحمل مركز بانكوك الدولي لطب الأسنان اعتماد JCI ويعالج أكثر من 15,000 مريض دولي سنوياً. تقدم عيادات مثل About Tooth في بانكوك رعاية تخصصية معتمدة تبدأ باقاتها من حوالي 3,050 $. يتمتع العديد من أطباء الأسنان في تايلاند، ومنهم العاملون في SmileBox، بلقب Platinum Provider، مما يؤكد إنجازهم لعدد كبير من حالات إنفزالاين الناجحة سنوياً.

المزايا الرئيسية
  • احصل على تقويم الأسنان الشفاف في تايلاند بتكلفة أقل بنسبة 30-50% من السعودية وألمانيا.
  • خيارات تقويم الأسنان: Invisalign®, ClearCorrect®, وSmileDirectClub®.
  • مراجعة صور مجانية من قبل طبيب لتحديد أفضل خيار لتقويم الأسنان الشفاف لك.
  • ضمان متاح على عروض محددة.
  • عروض حصرية من عيادات تايلاندية موثوقة من $3,031.
تم التحقق من البيانات بواسطة Bookimed اعتبارًا من May 2026، استنادًا إلى طلبات المرضى والعروض الرسمية من 154 عيادة حول العالم. تستند التكاليف المتوسطة إلى الفواتير الحقيقية (2025–2026) ويتم تحديثها شهريًا. قد تختلف الأسعار الفعلية.

لا تفوت الصفقات الحصرية تقويم الأسنان بتقنية الانفيزالاين في تايلاند لمدة مايو 2026

نوع الإجراء
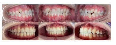
نتائج قبل وبعد تقويم Invisalign في About Tooth Dental Clinic – تحسين انتظام الأسنان
نتائج قبل وبعد تقويم Invisalign في About Tooth Dental Clinic – تحسين انتظام الأسنان
نتائج قبل وبعد تقويم Invisalign في About Tooth Dental Clinic – تحسين انتظام الأسنان
نتائج قبل وبعد تقويم Invisalign في About Tooth Dental Clinic – تحسين انتظام الأسنان
11سنة خبره ١٦ سنة

مثبتات الأسنان الشفافة Invisalign من مزود معتمد لابتسامة مثالية التوازن

تقدم هذه الحزمة أسعاراً أولية شفافة لتقويم إنفيزالاين (Invisalign)، بأسعار تبدأ من حوالي 3,145 دولاراً — وهي أقل بكثير من النطاق الدولي المعتاد. تقوم الدكتورة نيسارا تاناريركشاي، وهي أخصائية معتمدة أجرت أكثر من 900 علاج، بتقييم كل حالة شخصياً لوضع خطة تقويم مخصصة في عيادة أباوت توث لطب الأسنان (About Tooth Dental Clinic). وهي حاصلة على شهادة متقدمة في تقويم الأسنان من جامعة ثاماسات، مما يضمن دقة على مستوى أكاديمي. العيادة عضو مسجل في جمعية طب الأسنان في تايلاند، وتلبي المعايير المهنية الوطنية لرعاية تقويم الأسنان.

اكتشف أفضل تقويم الأسنان بتقنية الانفيزالاين العيادات في تايلاند: 22 خيارات معتمدة والأسعار

تم تصنيف العيادات بواسطة نظام Bookimed الذكي، باستخدام تحليل علوم البيانات عبر 5 معايير رئيسية.
SmileBox Dental Clinic - Thonglor, Sukhumvit Branch
Bangkok International Dental Center
Kitcha Dental Clinic
Smile Signature Dental Clinic
Edelweiss Dental House
لقد شاهدتم 5 من 22 عيادات

نظرة عامة على تقويم الأسنان بتقنية الانفيزالاين في تايلاند

الوجبات الجاهزة
الإجراءات والتكاليف ذات الصلة
كيف نعمل؟
ماذا تتوقع
إيجابيات وسلبيات
المزايا
دفع
مرضى يوصي -
85%
وقت الجراحة - 2 ساعتين
البقاء في البلاد - 5 ايام
إعادة تأهيل - 1 يوم
تخدير - تخدير موضعي
مراجعات المرضى التي تم التحقق منها - 14
رسوم الحجز - $0

بصفتنا المنصة العالمية الرائدة في مجال السياحة العلاجية ، فإننا نتحمل مسؤولية كبيرة تجاه عملائنا في تايلاند - سواء المرضى أو المراكز الطبية. تستند جميع المعلومات المقدمة على Bookimed.com إلى البحث والاستبصار والخبرة وتفي بالاهتمام الكبير المتعلق بمنتج Invisalign وما يلي:

نظام التصنيف التلقائي الذكي

نحن نشكل قوائمنا لعيادات وأطباء إنفزلاين مع لوائح صارمة لنظام التصنيف التلقائي الذكي الخاص بنا. يعتمد النظام على معدلات Bookimed الحقيقية للمرضى لتوفير المعلومات الأكثر موضوعية وشفافية حول العيادات وخدمات Invisalign هناك.

يجمع عالم البيانات ذو الخبرة لدينا البيانات يوميًا ، ويراقب ويحسن نظام تصنيف Invisalign باستخدام التعلم الآلي والذكاء الاصطناعي لضمان تحديث نظام التصنيف وتقديم نتائج دقيقة.

تجربة الناس الحقيقية فقط

نقوم بجمع آراء عملاء Bookimed فقط بعد الحصول على تجربة Invisalign مع العيادة - حتى يتمكن كل شخص على المنصة من الوثوق بالمنشأة التي يختارونها. نحن نسعى جاهدين لجعل المحتوى على منصتنا مفيدًا قدر الإمكان ونضمن حرية التعبير عن الآراء النقدية. وبالتالي ، ننشر مراجعات إيجابية وسلبية ، بهدف أن نكون مصدرًا لاتخاذ قرارات مستنيرة لعملائنا في المستقبل.

مواضيع ذات مستويات عالية من الخبرة والسلطة والجدارة بالثقة

على موقع Bookimed.com ، قد تجد الاختيار والراحة للعثور على أفضل الحلول الطبية من Invisalign من كبار مزودي الخدمات الطبية في مكان واحد فقط ، وغالبًا بأسعار تنافسية. للتأكد من تقديم أحدث المعلومات ، يقوم ممثلو العيادة بتحديث السير الذاتية للأطباء ، وقدرات العيادات ، والصور قبل وبعد ، والأسعار ، والحزم ، والعروض الخاصة بأنفسهم قريبًا. يمكنك مقابلة ممثل العيادة والتحقق من تاريخ المحتوى المحدث في صفحة كل عيادة للتأكد من مصداقيتها.

تم إنشاء مدونتنا والقطع الداعمة من قبل مؤلفين محترفين يتمتعون بخبرة لا تقل عن 3 سنوات في الكتابة الطبية ويتم تحريرها بواسطة متخصصين طبيين يتمتعون بخبرة إكلينيكية وبحثية ذات صلة - تم تعيينهم جميعًا بعناية في الفريق. نحن نسعى جاهدين لتعزيز وصول مريض الإنفزلاين إلى المعلومات الصحية ، مما يجعلها خبراء ولكن يسهل فهمها. تتبع جميع القطع إرشادات التحرير الخاصة بـ Bookimed.

القيم المحجوزة

نحن مصنوعون من الناس ومن أجلهم - وهذه هي قيمتنا الأساسية. هذا هو السبب في أن جميع البيانات المقدمة على المنصة يتم جمعها وتحريرها ومراجعتها وتحديثها بانتظام من قبل مرضى الإنفزلاين والعيادات الشريكة وفريقنا ، بما في ذلك المجلس الاستشاري الطبي Bookimed ، الذي يتكون من الأطباء المشهورين عالميًا ذوي الخبرة القيمة أكثر من 20 عامًا من الممارسة ، وسمعة طيبة. تعلم المزيد عنا وعن مهمتنا .

في حال وجدت أي خطأ أو لديك أي أسئلة حول المعلومات المقدمة على Bookimed.com ، فلا تتردد في الاتصال بنا على marketing@bookimed.com .

احصل على تقييم طبي لـ تقويم الأسنان بتقنية الانفيزالاين في تايلاند. استشر الآن 8 أطباء ذوي الخبرة.

عرض جميع الأطباء
يؤكد

Vikram Bhatia

15سنة خبره ١٦ سنة

مزود بلاتيني لـ Invisalign في عامي 2022 و 2023 – يتخصص الدكتور بهاتيا في علاجات المصففات الشفافة في عيادة سمايل بوكس لطب الأسنان.

  • دكتوراه في جراحة الأسنان من جامعة رانغسيت
  • تدرب على تقنيات متقدمة متعددة للقشور (الفينير) والمصففات الشفافة
  • معتمد في الدورة المتقدمة للمصففات الشفافة MOOV (Masterclass)
  • أكمل دورات متخصصة في تقويم الأسنان تشمل AOSC و E-Line
يؤكد

Vishesh Bhatia

10سنة خبره ١٦ سنة

الدكتور بهاتيا هو مزود بلاتيني لإنفزلاين (Invisalign Platinum Provider)، ومعترف به لمهارته الاستثنائية في علاجات المصففات الشفافة في عيادة سمايل بوكس لطب الأسنان (SmileBox Dental Clinic).

  • تدرب في تقويم الأسنان وطب الأسنان التجميلي في جامعة رانغسيت (Rangsit University)
  • حاصل على شهادة في إنفزلاين (Invisalign) والصف المتقدم لمصففات MOOV الشفافة (MOOV Clear Aligners Masterclass)
  • مؤسس عيادة سمايل بوكس لطب الأسنان ومنتجات سمايل بوكس للعناية بالفم
  • عضو نشط في جمعية طب الأسنان التايلاندية
يؤكد

Napapas Nidhidvanich

31سنة خبره ١٦ سنة

الدكتورة ناباباس نيدهيدفانيتش هي أخصائية طب أسنان حاصلة على تدريب متقدم في علاج جذور الأسنان، وتقدم رعاية دقيقة لمشاكل الأسنان المعقدة في مستشفى إنترارات.

  • تخرجت مع مرتبة الشرف من جامعة شولالونغكورن
  • حاصلة على ماجستير العلوم في علاج جذور الأسنان
  • معتمدة من المجلس التايلاندي لعلاج جذور الأسنان
  • متخصصة في العلاجات التي تؤثر على لب الأسنان والأعصاب
يؤكد

Pawak Tungthangthum

17سنة خبره ١٦ سنة

الدكتور باواك تونجثانجثوم هو مزود معتمد لـ Invisalign ولديه تدريب في زراعة الأسنان المتقدمة وطب الأسنان الترميمي التجميلي.

  • أكثر من 10 سنوات من الخبرة في طب الأسنان مع تدريب مكثف على Invisalign
  • رئيس قسم الأسنان في مستشفى بانكوك شيانغ ماي
  • عضو في الجمعية الأمريكية لطب الأسنان ومنظمات مرموقة أخرى
  • تدرب في كلية لوس أنجلوس لطب الأسنان وجامعة شولالونجكورن

قصص فيديو من مرضى Bookimed

Igor
كان رائعاً! التنقلات والإقامة والعلاج - كل شيء مشمول.
إجراء: زرع الأسنان
مستشفى: WestDent Clinic
David
من كان يعلم أن علاج الأسنان يمكن أن يكون عطلة صغيرة؟
إجراء: زرع سن مع التاج
مستشفى: Evergreen Dental
Pavel
أوصي بخدمات Bookimed للجميع - لقد جعلوا حياتي أسهل بكثير.
إجراء: تركيب تاج زركونيا
مستشفى: WestDent Clinic

المراجعات

جميع المراجعات
Sylvain Bridelance • طقم أسنان
فنلندا
١٩ مارس ٢٠٢٥
مراجعة تم التحقق منها.
وأود أن أشكر BIDC وBookimed أيضًا على احترافيتهم
مرحبًا بالجميع، مثل العديد من الأشخاص الآخرين قبل إجراء عملية جراحية، لم أكن أشعر أنني على ما يرام. طمأنني الموظفون في العيادة على الفور ورافقوني. صدقوني أو لا تصدقوا، لم أشعر بأي شيء. قام جراح الأسنان بتركيب الزرعتين في 40 دقيقة، ولم أشعر بأي التهابات على الإطلاق. كان مستشاري بوكيميد (بيغي) معي منذ البداية ولا يزال معي حتى اليوم. أود أن أشكر شركة BIDC وكذلك شركة Bookimed على احترافيتهم. سيلفان ب.
بساطة واحترافية العيادة.
كنت أشعر بالبرد الشديد أثناء العملية.
حول خدمة Bookimed
لقد تواصلت أكثر باللغة الفرنسية مع بيجي، مراجعي، وتولى هو جميع المواعيد ورسائل البريد الإلكتروني. كان الأمر كما لو أنه جاء معي.
مجهول • التشاور مع طبيب الأسنان
لاوس
٢٤ أبريل ٢٠٢٣
مراجعة تم التحقق منها.
أوصي
مرحبًا ! من المريح جدًا أنني حجزت في العيادة مسبقًا ولم أضطر إلى البحث عن أي شخص! جئت إلى طبيب الأسنان، وتم الترحيب بي بحرارة شديدة ☺️ أخذوني إلى الطبيب، وفحصوا كل شيء، والتقطوا الصور، وحتى ملأوا السن على الفور! من الجميل أن يتم شرح كل شيء بوضوح! وأسعارها مناسبة جداً للجميع 😊 أنصح بها
حول خدمة Bookimed
أهلاً بكم! من المريح جدًا أن يتم حجزي في العيادة مسبقًا ولم أضطر إلى البحث عن أي شخص! جئت إلى طب الأسنان، لقد تم الترحيب بي بحرارة شديدة ☺️ أخذوني إلى الطبيب، وفحصوا كل شيء، والتقطوا الصور وحتى ملأوا السن على الفور! من الجميل أن يشرحوا كل شيء بوضوح! وأسعارها مناسبة جداً للجميع 😊 أنصح بها
STEPHANE DERUYK • تركيب القشرة
فرنسا
٣ مارس ٢٠٢٥
مراجعة تم التحقق منها.
كان الموظفون منتبهين للغاية ومتاحين وودودين ومبتسمين!
أقدر حقًا السرعة التي تم بها صنع القشرة، وكذلك جميع التفسيرات التي قدمها طبيب الأسنان. سار كل شيء بسرعة كبيرة، وفقاً لكل ما تم التخطيط له. كان الموظفون منتبهين للغاية ومتوفرين وودودين ومبتسمين! الأسعار مغرية للغاية مقارنة بالأسعار في فرنسا.
النتائج والأسعار
تفسير
Nathan Perry • ابتسامة هوليود
الولايات المتحدة الامريكيه
٤ نوفمبر ٢٠٢٥
مراجعة تم التحقق منها.
لقد تلقيت علاجاً ممتازاً على يد طاقم عمل مدرب تدريباً عالياً حرص على أن تكون النتيجة ممتازة
أنصح بشدة بزيارة عيادة كيتشا لطب الأسنان في شيانغ ماي، تايلاند، للحصول على قشور الأسنان. تلقيت علاجًا ممتازًا على يد فريق عمل مدرب تدريبًا عاليًا، مما ضمن لي الحصول على نتائج ممتازة.
خبرة طبيب الأسنان
حول خدمة Bookimed
لقد كنت سعيدًا بالخيارات المقدمة والتواصل.
Noel Julie • إزالة الحكمة الأسنان
الولايات المتحدة الامريكيه
٢١ فبراير ٢٠٢٣
مراجعة تم التحقق منها.
تم قلع ضرس العقل بهذه السرعة بعناية فائقة
إنه مستشفى نظيف وتم قلع ضرس العقل بسرعة فائقة بعناية فائقة. يمكن لطبيب الأسنان وموظفي الأسنان التحدث باللغة الإنجليزية بطلاقة وهو أمر مهم لمعظم الأشخاص مثل I. بالنسبة لخلع أسنان الحكمة ، كانت التكلفة 20000 باهت لأربعة أسنان (بما في ذلك الأدوية ورسوم الممرضة) ، لكن كل هذا يتوقف على ما إذا كانت الأسنان قد تأثرت أم لا. سأكون في غاية يوصي العيادة.
Markus Schales • تبييض الأسنان
سويسرا
٢٦ يناير ٢٠٢٥
مراجعة تم التحقق منها.
لا أستطيع إلا أن أوصي به
كنت في تايلاند للمرة الأولى طبيب أسنان. سار كل شيء كما وعدت من التكلفة، والموعد، وطريقة التعامل مع المرضى والنتيجة. لا يسعني إلا أن أوصي به.
تم الالتزام بالجدول الزمني السريع والتكاليف المتفق عليها.
لا شيء
حول خدمة Bookimed
تلقيت دعماً كبيراً. استمروا في السؤال عما إذا كان كل شيء على ما يرام. خدمة رائعة
Linda • تركيب تاج الأسنان
المملكة المتحدة
٢ ديسمبر ٢٠٢٢
مراجعة تم التحقق منها.
كان العلاج المهني رائعًا
كان جميع الموظفين مهذبين للغاية وودودون وكان المعاملة المهنية رائعة
حول خدمة Bookimed
باهِر

تقويم الأسنان بتقنية الانفيزالاين: صور قبل/بعد

عرض جميع الصور قبل وبعد

مشاركة المحتوى

Twitter XLinkedinFacebookWhatsAppEmail
أحصل على الرابط
محدث: 11/04/2025
تأليف
Anna Leonova
Anna Leonova
رئيس فريق تسويق المحتوى
محررة طبية معتمدة لديها خبرة تزيد عن 10 سنوات، طوّرت محتوى Bookimed الموثوق، مدعومة بماجستير في علم اللغة ومقابلات مع خبراء طبيين من جميع أنحاء العالم.
تمت المراجعة من قبل المستشار الطبي في Bookimed
فهد مولود
محرر طبي وعالم بيانات
طبيب عام. حاصل على 4 جوائز علمية. خدم في غرب آسيا. رئيس الفريق الطبي الناطق بالعربية سابقا ومسؤول عن معالجة البيانات ودقة المحتوى الطبي حاليا.
فهد مولود Linkedin
قد تحتوي هذه الصفحة على معلومات تتعلق بمختلف الحالات الطبية والعلاجات وخدمات الرعاية الصحية المتوفرة في بلدان مختلفة. يرجى العلم أن المحتوى مقدم لأغراض إعلامية فقط ولا ينبغي تفسيره على أنه نصيحة أو إرشادات طبية. يرجى استشارة طبيبك أو أخصائي طبي مؤهل قبل البدء أو تغيير العلاج الطبي.

أسئلة متكررة حول تقويم الأسنان بتقنية الانفيزالاين في تايلاند

هذه الأسئلة الشائعة مأخوذة من مرضى حقيقيين يبحثون عن رعاية طبية عبر Bookimed. يتم تقديم الإجابات من قبل منسقين طبيين ذوي خبرة وممثلين موثوقين من العيادات.

ما هي المدة التي تستغرقها عادةً عملية علاج Invisalign في تايلاند؟

تختلف المدة حسب الحالات الفردية. قد تستغرق مشكلات المحاذاة البسيطة حوالي 3 أشهر، في حين قد تستغرق الحالات الأكثر تعقيدًا ما يصل إلى عامين. في المتوسط، يستمر العلاج من 12 إلى 18 شهرًا.

ما هي عملية الحصول على تقويم الأسنان الشفاف في تايلاند؟

تبدأ العملية باستشارة أولية وتقييم للأسنان، يليها إجراء مسح ضوئي رقمي أو أخذ انطباعات لأسنانك. يقوم طبيب تقويم الأسنان الخاص بك بإنشاء خطة علاج مخصصة، وبمجرد الانتهاء من تصنيع أجهزة التقويم الخاصة بك، تبدأ في ارتدائها لمدة تتراوح من 20 إلى 22 ساعة يوميًا، وتغييرها إلى مجموعة جديدة كل أسبوع إلى أسبوعين.

ما هي عدد زيارات المتابعة المطلوبة أثناء علاج إنفيزلاين؟

عادةً ما تكون زيارات المتابعة مطلوبة كل 6 إلى 8 أسابيع لمراقبة التقدم والتحقق من الملاءمة وتوفير محاذاة جديدة. تعتبر هذه الزيارات قصيرة وتساعد على ضمان تحرك أسنانك كما هو مخطط لها.

هل يمكنني البدء في علاج Invisalign في تايلاند ومواصلته في مكان آخر؟

نعم، من الممكن البدء في علاج إنفيزلاين في تايلاند ومواصلته في بلد آخر حيث أن إنفيزلاين هو نظام عالمي. وفقًا للجمعية الأمريكية لأطباء تقويم الأسنان ، فإن التنسيق بين طبيب تقويم الأسنان التايلاندي الخاص بك ومقدم الخدمة في موقعك الجديد أمر مهم لضمان التقدم السلس.

ما هي أفضل العيادات في تايلاند لعلاج إنفيزلاين؟

وفقًا لتصنيف Bookimed، أفضل العيادات هي:

  • عيادة كيتشا لطب الأسنان - شيانغ ماي، تايلاند
  • عيادة ديزي للأسنان - بانكوك، تايلاند
  • نبذة عن عيادة توث لطب الأسنان - بانكوك، تايلاند

Can any dentist in Thailand perform Invisalign treatment?

Not every dentist in Thailand can provide Invisalign treatment. Only those who complete specialized certification from Align Technology are authorized. Qualified providers often hold credentials from the Thai Board of Orthodontics or international bodies like the American Dental Association.

  • Specialized certification: Dentists must pass formal training from Align Technology to handle aligner cases.
  • Tier levels: Top doctors achieve Platinum or Diamond status by treating many patients annually.
  • Specialist training: Orthodontists have over three years of university training beyond a general dental degree.
  • Advanced technology: Certified clinics use specialized iTero scans for precise teeth alignment and refinement planning.

Bookimed Expert Insight: Data shows that top-tier providers in Thailand often combine Invisalign with academic roles. For example, Dr. Pornpan Jariyavithayakul at Edelweiss Dental House holds a PhD in Orthodontics and serves as a guest instructor at Rangsit University. Patients seeking complex adjustments benefit from choosing doctors who actively teach clear aligner techniques to other dental professionals.

Patient Consensus: Patients note that verifying a doctor's tier level helps them feel more confident about the results. Many mention that specialists at hospital-affiliated clinics are more thorough with necessary scans during follow-up visits. They emphasize that while general dentists offer the treatment, orthodontists manage complex bite issues much better.

How can I verify a doctor's expertise with Invisalign?

Verify a doctors expertise with Invisalign by checking their official provider tier and specialized orthodontic training. In Thailand, leading experts hold Diamond or Platinum status based on annual case volume. Qualified providers should have certification from Align Technology and memberships in the Thai Dental Association.

  • Invisalign provider tiers: Platinum and Diamond statuses indicate a higher volume of successful cases.
  • Orthodontic specialization: Doctors like Dr. Pornpan Jariyavithayakul have a PhD and Thai Board certification.
  • Training background: Top dentists often train at Chulalongkorn, Mahidol, or prestigious USA dental schools.
  • Advanced technology: Verified experts use iTero 3D scanners to plan precise tooth movements.

Bookimed Expert Insight: Thai dental experts often combine international training with official provider recognition. For example, Dr. Vikram Bhatia and Dr. Vishesh Bhatia at SmileBox Dental Clinic are recognized Platinum Providers. This status confirms they maintain a consistent volume of cases while utilizing advanced Aligner Academy techniques.

Patient Consensus: Patients emphasize the importance of seeing actual before-and-after photos during the first visit. They note that asking for the total number of cases treated helps confirm the doctors skill. Many felt more confident when clinics used digital iTero scans instead of messy physical molds.

Do Thai Invisalign doctors have international training?

Thai Invisalign doctors frequently undergo international training in the USA, Europe, and Asia. Leading specialists combine Thai university degrees with advanced certifications from global institutions. Many experts hold American Dental Association memberships and have completed specialized fellowships in orthodontics abroad.

  • International education: Doctors like Dr. Pawak Tungthangthum trained at the Los Angeles School of Dentistry.
  • Global masterclasses: Specialists attend programs like the Fradeani Masterclass in Italy for cosmetic expertise.
  • Regional specialized hubs: Dentists often complete advanced implant and orthodontic courses at Hong Kong University.
  • Manufacturer certification: Top providers hold official certifications from Align Technology based in the USA.

Bookimed Expert Insight: Data shows that premier Invisalign doctors in Thailand often pursue training in multiple countries. Dr. Akarapat Rattananon trained in Thailand and Italy. Dr. Pawak Tungthangthum studied in Thailand and the USA. This pattern indicates that top-tier Thai clinics favor doctors with diverse international perspectives. Patients should look for Platinum Provider tiers to identify surgeons with the highest volume of successful cases.

Patient Consensus: Patients note that Thai orthodontists communicate very clearly about the alignment process. Many choose Bangkok clinics because the doctors have studied in their home countries. Patients often feel comfortable knowing their provider uses the same technology found in American or British practices.

What technology should I expect a Thai Invisalign doctor to use?

Invisalign doctors in Thailand use a standardized digital workflow powered by high-speed intraoral scanning and 3D treatment planning. Leading specialists hold official certifications from Align Technology. They provide immediate smile simulations using advanced software to map every tooth movement before treatment begins.

  • Intraoral scanning: Most clinics use iTero Element scanners to create 3D digital models quickly.
  • ClinCheck software: Doctors use this proprietary tool to simulate final results and bite predictions.
  • Advanced imaging: Facilities typically include digital panoramic X-rays and CBCT 3D bone structure scans.
  • SmartTrack material: All certified specialists provide aligners made from proprietary, multilayer medical-grade polymers.

Bookimed Expert Insight: Thai orthodontists often hold international credentials that enhance their technical approach. For example, Dr. Vishesh Bhatia of SmileBox Dental Clinic is a Platinum Provider who developed proprietary clear aligner systems. This level of expertise allows doctors to integrate global Invisalign standards with local lab innovations for faster refinements.

Patient Consensus: Patients note that getting a digital scan is much faster and more comfortable than traditional molds. Many say they felt more confident after seeing their predicted smile simulation during the first visit. They also notice that doctors at certified clinics use precise 3D-guided templates for attachments.

How often will I need to see my Invisalign doctor in Thailand?

Invisalign treatment in Thailand generally requires in-person check-ups every 6 to 8 weeks. This schedule allows providers to track your 3D ClinCheck progress. Specialized doctors may extend these intervals to 3 months for international patients using digital monitoring tools.

  • Appointment frequency: Most patients visit their dental clinic every 6 to 8 weeks.
  • Extended intervals: Digital tracking can reduce visits to once every 2 to 3 months.
  • Complex cases: Intricate tooth movements may require monitoring sessions every 4 to 5 weeks.
  • Virtual check-ins: Some providers use remote photo assessments to minimize physical clinic visits.

Bookimed Expert Insight: Data shows that choosing an Invisalign Platinum Provider like Dr. Vikram Bhatia or Dr. Vishesh Bhatia at SmileBox Dental Clinic often allows for a more efficient appointment structure. These experts utilize advanced aligner masterclass techniques that can reduce the total number of physical visits to just 4 or 5 over the entire 18-month treatment period.

Patient Consensus: Patients note that their treatment often requires fewer visits than expected because clinics use 3D scans and WhatsApp for remote updates. Some were surprised that they only needed a few face-to-face check-ins to achieve great results.

Can my Thai Invisalign doctor continue my care if I move abroad?

Thai Invisalign doctors can continue your care through remote monitoring or an official case transfer. Most providers use virtual check-up apps to track progress while you are overseas. You must collect your digital scans and treatment records to ensure a smooth transition to a new local orthodontist.

  • Virtual oversight: Doctors use specialized apps to monitor teeth movement and tray fit from distance.
  • Bulk aligners: Your provider may issue multiple tray sets in advance to cover several months.
  • Case transfer: Moving your digital plan between providers is possible in over 100 countries worldwide.
  • Physical procedures: Some steps like attachment removal or IPR require returning to the Thai clinic.

Bookimed Expert Insight: Invisalign Platinum Providers in Thailand like Dr. Vikram Bhatia or Dr. Vishesh Bhatia at SmileBox Dental Clinic often have extensive experience with international patients. This expertise is vital because they are familiar with the administrative requirements of initiating a transfer through the Invisalign Doctor Site. Having your case managed by these top-tier providers can simplify the process of sharing complex 3D plan data with doctors in your new location.

Patient Consensus: Patients note it's common for Thai clinics to provide several months of trays at once. They mention that getting your full 3D scans before leaving is essential to avoid starting over. Those who moved say the biggest hurdle is finding a local doctor who accepts the existing Thai treatment plan.

Do Thai Invisalign doctors offer payment plans?

Thai Invisalign doctors frequently provide flexible payment plans to manage treatment costs. Many clinics offer internal clinic-only financing with zero interest. Patients often pay an initial deposit for scans. The remaining balance is then divided into monthly installments during the alignment process.

  • Monthly installments: Clinics often split the balance into 12 to 18 interest-free payments.
  • Direct financing: Many practices offer in-house plans without requiring local bank involvement.
  • Deposit requirements: Initial payments typically cover digital 3D scans and the custom treatment plan.
  • Upfront discounts: Paying the full amount early may secure a 5% to 10% discount.

Bookimed Expert Insight: Top clinics like SmileBox Dental Clinic use Platinum Provider status to offer more competitive terms. Doctors like Dr. Vikram Bhatia and Dr. Vishesh Bhatia utilize high-tier manufacturer status to bundle services. Patients can often negotiate to include extra aligners or retainers within the standard installment plan.

Patient Consensus: Patients note that setting up payments is simple using local apps or cash transfers. Many felt relieved that they could start treatment with a 50,000 THB deposit. They also enjoyed how clinics handled logistics like shuttles while they visited for monthly check-ups.

Can I complete Invisalign treatment in Thailand during a short holiday?

Invisalign treatment cannot be finished during a short holiday in Thailand. Tooth realignment usually takes 6 to 18 months. Patients typically start the process abroad with digital scans and custom aligners. They then continue the treatment journey from Australia.

  • Setup phase: Requires 7–14 days in Thailand for 3D iTero scanning and aligner fitting.
  • Manufacturing time: Lab production and shipping of custom trays takes roughly 5–10 days.
  • Initial fitting: Dentists bond small composite attachments to teeth to secure the aligners.
  • Home care: Patients manage the remaining 6–18 months through remote monitoring and tray changes.

Bookimed Expert Insight: Data from clinics like SmileBox Dental Clinic show that Bangkok providers often hold Platinum or Red Diamond status. This confirms they handle a high volume of complex cases annually. Many Thai clinics now use AI-assisted planning and remote tracking apps to support Australian patients at home.

Patient Consensus: Visitors to Thailand recommend organising scans before arriving to save time. Most patients find that remote telehealth follow-ups and clear treatment plans make continuing care in Australia straightforward.

How does the quality of dental care for Invisalign in Thailand compare to standards in Australia?

Invisalign quality in Thailand matches Australian standards when using certified providers in JCI-accredited facilities. Both countries use identical Align Technology hardware and iTero 3D scanning. Top Thai clinics feature specialists with US or Australian training. They also maintain ISO-certified sterilisation protocols.

  • Hardware standards: Leading clinics use genuine SmartTrack material and iTero scanners.
  • Specialist credentials: Providers like Dr Pawak Tungthangthum hold training from US institutions.
  • Accreditation levels: Major centres like Bangkok International Dental Center maintain rigorous JCI accreditation.
  • Treatment planning: Specialised facilities use AI-assisted workflows and 3D modelling for precise results.

Bookimed Expert Insight: Thai dental hospitals like BIDH operate under hospital-level safety standards. This provides sterilisation and surgical-grade environments that often exceed Australian suburban practices. Bookimed data shows these facilities serve over 10,000 international patients annually with high reliability.

Patient Consensus: Thailand offers excellent value, though patients must verify provider levels like Platinum or Diamond status. Successful outcomes rely on orthodontic oversight and receiving full digital treatment plans in English.

What happens if I need to transfer my Invisalign treatment from a clinic in Thailand to a dentist in Australia?

Transferring Invisalign treatment from Thailand to Australia needs formal coordination between providers. They must use the official Invisalign Patient Transfer Authorisation form. Digital ClinCheck files move between accounts within 2 days. However, the Australian dentist then takes full clinical responsibility. They may require new scans or plan adjustments.

  • Digital records: Patients must secure all 3D scans and ClinCheck exports before leaving Thailand.
  • New provider: Not all Australian clinics accept mid-treatment transfers from international providers.
  • Evaluation fees: New dentists charge for initial consultations and potential mid-course treatment corrections.
  • Aligner inventory: Patients should keep every used and unused tray for the new dentist's review.

Bookimed Expert Insight: Thai clinics like Bangkok International Dental Center (BIDC) or SmileBox are often JCI-accredited. They follow the same ISO standards as Australian surgeries. However, Invisalign payments are not transferable across borders. Finishing treatment in Thailand—where costs range from $2,700 to $4,300—saves significantly compared to the $5,000 Australian average.

Patient Consensus: Transfer is possible if you have all scans, treatment plans, and aligner history. Budget for Australian re-scan fees and expect plan revisions once you arrive home.

How do Thai dental clinics manage Invisalign patients who have a nomadic or travelling lifestyle?

Thai dental clinics manage nomadic Invisalign patients using digital workflows, teledentistry, and logistics planning. Leading centres in Bangkok and Chiang Mai use iTero 3D scans and AI-assisted monitoring. This allows clinicians to track progress remotely. Travellers can maintain treatment across borders without frequent in-office visits.

  • Digital monitoring: Clinicians use mobile software and AI to review tooth movement from smartphone photos.
  • Compressed timelines: iTero scans and prioritised lab shipping often allow 7–10 day aligner delivery.
  • Batch dispensing: Qualified providers frequently provide the full set of trays during the initial visit.
  • Global logistics: Clinics arrange international shipping via DHL or FedEx for refinements or replacement trays.
  • Digital handovers: Providers supply STL files and records for local specialists if emergencies arise abroad.

Bookimed Expert Insight: High-volume Bangkok clinics like SmileBox and Bangkok International Dental Center serve 1,000+ international patients yearly. This experience led several providers to achieve Platinum and Red Diamond status with Align Technology. This status allows for faster manufacturing and easier file transfers to certified orthodontists in Australia.

Patient Consensus: Success depends on predictable travel schedules and receiving multiple trays in advance. Patients find that having a clear plan for lost aligners keeps treatment on track.

What is the typical timeframe for an Invisalign treatment program in Thailand?

Invisalign treatment in Thailand generally takes 6 to 18 months. Simple alignment cases may finish within 6 months. More complex bite corrections typically require 12 to 18 months. Patients must wear aligners for 20 to 22 hours daily to stay on schedule.

  • Complex cases: Extensive misalignment or significant bite issues often require 18 to 24 months.
  • Mild corrections: Minor gaps or slight crowding typically finish in 6 to 12 months.
  • Digital workflow: Clinics like Asok Montri use iTero scans for precise treatment planning.
  • Clinical expertise: Platinum providers like Dr Vikram Bhatia manage high-volume cases with efficient staging.
  • Refinement period: Final adjustments or extra aligner sets may extend the timeline by 2 months.

Bookimed Expert Insight: High-volume Bangkok centres often use iTero simulators to show result timelines instantly. Platinum and Red Diamond providers have handled thousands of cases. Notable examples include providers at Thonglor Dental Hospital. This volume helps them predict completion dates accurately. Always check if the A$2,900 to A$4,200 packages include these extra refinement aligners.

Patient Consensus: Treatment times in Thailand match international standards and depend on case complexity. Patients find that digital scans at Bangkok clinics make initial planning rapid and transparent. Final dates are estimates. You should factor in extra time for refinements if tooth movement needs adjustment.

ما تحتاج لمعرفته عن تايلاند قبل رحلتك؟

اسم رسمي

مملكة تايلاند

عملة

البات التايلندي (يمكنك أيضًا الدفع مقابل الخدمات بالدولار)

أفضل فترة للسفر

نوفمبر - بداية أبريل

لغة

التايلاندية (معظم الطاقم الطبي يتحدث الإنجليزية بطلاقة)

تأشيرة

مطلوب لرحلة مدتها 3-6 أشهر

فارق التوقيت مع أوروبا

الساعه 7

فارق التوقيت من الولايات المتحدة الأمريكية

12 ساعة

عاصمة

بانكوك

مركز السياحة العلاجية

بانكوك

منتجعات رائجة

كوه ساموي ، فوكيت ، شيانغ ماي ، كوه تشانج ، هوا هين

ما هو مستوى الطب في تايلاند؟

الرعاية الصحية هي قطاع التنمية الرئيسي للحكومة التايلاندية. السلطات التايلاندية مقتنعة بأن رعاية صحة المواطنين يجب أن تكون أولوية غير مشروطة لسياسة الدولة ، وتنفق سنويًا حوالي 25 مليار بات على الرعاية الصحية.

نتيجة لذلك ، توفر 36673 منشأة طبية رعاية طبية ممتازة في البلاد. تم اعتماد 64 مركزًا طبيًا في المملكة من قبل اللجنة المشتركة الدولية (JCI) ، وهي هيئة دولية لتحسين جودة وسلامة الخدمات الطبية في جميع أنحاء العالم. فهرس الشهادات المتلقاة هو الأكبر. للمقارنة ، هناك 20 مؤسسة معتمدة من اللجنة الدولية المشتركة في إسرائيل ، و 10 عيادات فقط من هذا النوع في ألمانيا.

ما هي الخدمات الفندقية المقدمة هنا؟

يوجد في مملكة تايلاند فنادق ذات نطاقات أسعار ومستويات خدمة مختلفة. مستوى الفنادق التايلاندية مشابه للفنادق في تونس أو المغرب أو مصر. يختار معظم السياح فنادق 4 و 5 نجوم مع وجبات شاملة كليًا. تحتوي هذه الفنادق على كل شيء لإقامة مريحة: طعام متنوع ، منطقة كبيرة جيدة الإعداد ، رسوم متحركة للأطفال والكبار. تحتوي بعض الفنادق على حديقة مائية خاصة بها ، والتي يمكن للضيوف استخدامها مجانًا. يمكن للمسافرين ذوي الميزانية المحدودة حجز فندق اقتصادي من فئة 3 نجوم مع نصف إقامة أو بدون وجبات على الإطلاق.

ما هو أفضل وقت للذهاب إلى تايلاند؟

الميزة الرئيسية للمنتجعات التايلاندية هي موسم الشاطئ الطويل. يختلف المناخ على السواحل الشرقية والغربية ، لذا ضع ذلك في الاعتبار عند التخطيط لرحلتك. أفضل وقت للسفر هو خلال الموسم البارد والجاف من نوفمبر إلى أوائل أبريل. يحدث تدفق كبير للسياح في مارس ومايو ، عندما تصل درجة حرارة الهواء إلى + 30 درجة مئوية.

هل أحتاج إلى تأشيرة؟

في الوقت الحالي ، تتطلب مملكة تايلاند أنظمة تأشيرات مختلفة لدول مختلفة. يمكن لبعض الأجانب البقاء في البلاد دون مراقبة التأشيرة لمدة 60 يومًا ، والبعض الآخر - 14 يومًا فقط.

كم من الوقت يمكنك البقاء في تايلاند وأي البلدان يمكن أن تعبر الحدود بسهولة اقرأ هنا .

ما هي المستندات المطلوبة للتقدم للحصول على تأشيرة لتايلاند للعلاج؟

للتقدم للحصول على تأشيرة دخول إلى تايلاند ، هناك عدد من المستندات المطلوبة. يمكن تقديم الأوراق اللازمة قبل 90 يومًا من المغادرة المخطط لها. قائمة الوثائق تشمل :

  • بطاقة الهوية
  • تأكيد التسجيل عبر الإنترنت وملء الاستبيان
  • شهادة الدخل والأموال (20000 باهت لكل شخص / 40 ألف بات لكل أسرة)
  • بوليصة التأمين لفترة الإقامة في تايلاند (الأصل والنسخة)
  • 2 صورة (4x6)
  • الحصول على تأشيرة
  • تذكرة طيران ذهابًا وإيابًا (مدفوعة بالكامل) وحجز الفنادق
  • رأي الطبيب في الحاجة للعلاج.

احصل على استشارة مجانية

حدد أفضل طريقة للاتصال بك