يتمتع الدكتور صموئيل جيفارا غوميز بخبرة تمتد لـ 28 عاماً في تعويضات الأسنان وزراعة الأسنان، حيث أجرى أكثر من 1100 عملية لتركيب فينير البورسلين. تتراوح التكلفة الأولية بين 4750 و4800 دولار أمريكي تقريباً، مع توفر برامج مخصصة. تلقى الدكتور غوميز تدريباً دولياً في البرازيل وإسرائيل وليختنشتاين، ويستخدم تقنيات الحد الأدنى من تحضير الأسنان. عيادة RO Dental Clinic حاصلة على عضوية في جمعية طب الأسنان المكسيكية وتحافظ على معدل توصية من المرضى بنسبة 91%.
ما هي قشور الأسنان؟
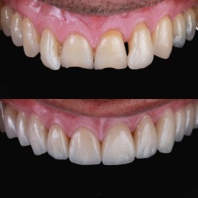
قشور الأسنان هي قشور رقيقة بلون الأسنان. وهي تغطي السطح الأمامي للأسنان. تعمل القشرة على تحسين مظهر الأسنان. يمكنها إخفاء العيوب مثل
- تغير اللون
- الشقوق
- والفجوات.
🦷 تم تصميم القشرة لتتناسب مع حجم الأسنان الطبيعية وشكلها ولونها. يمكن صنع القشرة من:
أنواع قشور الأسنان
🟢 قشور البورسلين متينة وتوفر مظهراً طبيعياً. وهي مقاومة للبقع ومثالية للحصول على نتائج طويلة الأمد وعالية الجودة. وهي الأفضل للمرضى الذين يبحثون عن حل دائم ويمكنها تصحيح العيوب الكبيرة. تأتي بتكلفة أعلى وتتطلب إزالة بعض المينا.
🟢 قشور الراتنج المركب أقل تكلفة ويمكن وضعها في زيارة واحدة. وهي أقل متانة، وعادةً ما تدوم حوالي 5 سنوات، وقد تتلطخ بمرور الوقت. القشرة المركبة هي الأفضل للمرضى الذين يبحثون عن تحسينات سريعة وفعالة من حيث التكلفة أو إصلاحات مؤقتة. بالمقارنة مع قشور البورسلين، تعتبر القشرة المركبة خياراً مناسباً للميزانية في طب الأسنان التجميلي، مما يجعلها مناسبة للتعديلات التجميلية البسيطة.
🟢 توفرقشرة الزركونيوم قوة استثنائية ومظهراً طبيعياً. إنها تقاوم التشقق وهي مثالية للمرضى الذين يعانون من قوى قضم ثقيلة أو مشاكل كبيرة في الأسنان. وهي متينة ولكنها ذات تكلفة أعلى وتتطلب تحضيراً أكثر شمولاً للأسنان.
أنواع قشور الأسنان الخزفية
🟡قشرة البورسلين التقليدية مصنوعة من طبقات رقيقة من البورسلين. وهي تتطابق مع شكل الأسنان الطبيعية ولونها. هذه القشور متينة وتبدو طبيعية، مع الحد الأدنى من التحضير اللازم للأسنان.
👉بشكل عام، تتمتع قشور البورسلين الفلزباثيك التقليدية بمعدل بقاء قوي يصل إلى 87% على مدى 8 سنوات في المتوسط، مع بقاء بعضها لمدة تصل إلى 20 عامًا. وهذا يدل على متانتها وفعاليتها كحل طويل الأمد لتحسين الابتسامة.
تُصنعقشور الفينير من سيراميك ثنائي سيليكات الليثيوم. وهي قوية وشفافة ومقاومة للتشققات والبقع. وهي تناسب المرضى الذين يرغبون في خيار طويل الأمد وجذاب.
🟡 قشور البورسلينغير القابلة للتحضير أرق من القشرة الخزفية التقليدية. فهي تتطلب القليل من التحضير أو لا تتطلب أي تحضير للأسنان الطبيعية. وهذا يجعلها مثالية للمرضى الذين يبحثون عن إجراء أقل توغلاً وأسرع.
-
قشرة اللومينير هي نوع من قشرة البورسلين التي لا تحتاج إلى تحضير وهي رقيقة بحوالي 0.3 مم. لا تحتاج إلى تصغير الأسنان إلا قليلاً أو لا تحتاج إلى تصغير الأسنان. توفر اللومينير الرقيقة جداً طريقة سريعة وغير جراحية لتحسين مظهر الأسنان الطبيعية.
👉أبرزت مقالة مراجعة أن قشور اللومينير وهي قشرة البورسلين الرقيقة جداً تتمتع عادةً بمعدلات نجاح عالية. تظهر الدراسات معدلات بقاء حوالي 99.0% ومعدلات نجاح تبلغ حوالي 96.4% بعد 5 سنوات.
فوائد قشور الأسنان الخزفية
تخيل الثقة في التباهي بابتسامة رائعة وخالية من العيوب كل يوم. يمكن لقشور البورسلين الخزفية أن تحقق هذا الحلم بقوتها التحويلية. كثيراً ما يلجأ أولئك الذين يتطلعون إلى تحسين ابتسامتهم إلى قشور البورسلين في المكسيك للحصول على نتائج رائعة. إليكم السبب:
-
✨ تحسين جماليات الابتسامة. تعمل قشور البورسلين على تحسين لون الأسنان وشكلها وحجمها. فهي تعالج مشاكل مثل تغير اللون، والأسنان غير المستوية والفجوات، مما يمنحك ابتسامة أكثر تناسقًا وإشراقًا.
-
😊 تعزيز الثقة. بفضل مظهرها الطبيعي وقدرتها على تصحيح العيوب التجميلية، يمكن لقشور البورسلين أن تعزز ثقتك بنفسك. عند معرفة أن ابتسامات المرضى تبدو ممتازة، سيشعرون براحة أكبر في الابتسام والتواصل الاجتماعي.
-
⏳ المتانة وطول العمر. قشور البورسلين قوية وتدوم طويلاً. فهي تقاوم البقع، لذا يظل مظهرها الأبيض الناصع سليماً. يمكن أن تدوم من 10 إلى 15 سنة أو أكثر مع العناية المناسبة والتعامل مع العض والمضغ اليومي.
لماذا تختار المكسيك لتركيب قشرة البورسلين؟
تقدم المكسيك مزيجًا مثاليًا من القدرة على تحمل التكاليف والجودة والراحة لقشرة الأسنان. إذا كنت تبحث عن خيارات ميسورة التكلفة، فإن تكلفة قشور الأسنان المكسيك أقل بكثير مقارنة بالعديد من البلدان الأخرى.
اختيار عيادة الأسنان المناسبة أمر بالغ الأهمية لعلاجات مثل الفينير وزراعة الأسنان. ابحث عن العيادات التي تقدم مجموعة من الخدمات، وتتمتع بخبرة مثبتة، وتعرض شهادات المرضى الإيجابية.
-
💸 توفير التكلفة. تتراوح تكلفة قشور الأسنان في المكسيك بين 280 دولار و600 دولار لكل سن. أما في الولايات المتحدة، فتتراوح تكلفتها من 800 دولار إلى 2,000 دولار. وهذا يعني توفيراً يصل إلى 60%. تقدم العيادات باقات ميسورة التكلفة تشمل القشرة والاستشارات والرعاية اللاحقة.
-
📋 رعاية عالية الجودة. لدى العديد من العيادات اعتماد من الجمعية الأمريكية لطب الأسنان(ADA) والجمعية المكسيكية لطب الأسنان(ADM). غالباً ما يكون أطباء الأسنان حاصلين على تدريب متقدم ويستخدمون أحدث التقنيات، مثل أنظمة CAD/CAM، لوضع القشرة بدقة.
🌍 الراحة. المكسيك قريبة من الولايات المتحدة، مما يجعل من السهل زيارتها للعناية بالأسنان. غالبًا ما تكون العيادات على بعد مسافة قصيرة بالسيارة من الحدود. على سبيل المثال، تبعد تيخوانا 20 ميلاً عن سان دييغو.
كم تبلغ تكلفة قشور البورسلين في المكسيك؟
💲تصوَّر ابتسامة تحول الابتسامة التي لن تكسر البنك. في المكسيك، تقدم قشور البورسلين في المكسيك طريقة فعالة من حيث التكلفة لتحسين الأسنان والثقة. سواء كنت مهتمًا بتكلفة قشرة واحدة أو مجموعة كاملة من القشرة، يمكن أن يكون التوفير كبيرًا - يتراوح بين 25% إلى 76% مقارنة بالولايات المتحدة. وغالباً ما يبحث المرضى الذين يسعون إلى تغيير الابتسامة عن تكلفة المجموعة الكاملة من الفينير في المكسيك للحصول على أسعار أقل، وإليك كيفية المقارنة بين التكاليف:
| نوع القشرة | المكسيك (التكلفة لكل سن) | الولايات المتحدة (التكلفة لكل سن) | المملكة المتحدة (التكلفة لكل سن) | التوفير (المكسيك مقابل الولايات المتحدة) |
| اللومينير | $280 - $600 | $800 - $2,000 | $900-$1,150 | 900 دولار - 1,400 دولار لكل سن (25٪ - 70٪) |
| قشرة إيماكس | $400 - $1,200 | $800 - $2,500 | $1,100 - $1,430 | ) 700 دولار - 1,300 دولار لكل سن (50٪ - 52٪) |
| قشور البورسلين لكامل الفم | $4,480 - $9,600 | $12,800 - $40,000 | $5,800 - $13,000 | $8,320 - $30,520 (65% - 76%) |
بالنسبة لأولئك الذين يستكشفون قشور البورسلين في المكسيك، تتراوح التكاليف عادةً من 280 دولار إلى 600 دولار لكل سن، مما يوفر توفيرًا كبيرًا مقارنةً بقشرة البورسلين في الولايات المتحدة، والتي تتراوح من 800 دولار إلى 2,000 دولار لكل سن. الأسعار معقولة أكثر في المواقع التي يكثر عليها الطلب مثل تيخوانا، المكسيك، ولوس ألغودونيس.
العوامل التي تؤثر على تكلفة قشرة البورسلين في المكسيك
-
🦷الموادالمستخدمة. قشور البورسلين أغلى ثمناً وأكثر متانة، في حين أن المركب أرخص ولكنه أقل ديمومة.
-
🔢عدد الأسنان. تتراوح القشرة المفردة من 280 دولار إلى 1,200 دولار، والمجموعات الكاملة من 4,480 دولار إلى 9,600 دولار.
-
الموقع. تقدم العيادات في المناطق التي يكثر عليها الطلب مثل تيخوانا أسعارًا أقل بسبب المنافسة، بينما قد تتقاضى العيادات الحضرية رسومًا أعلى بسبب ارتفاع النفقات العامة.
باقات قشور البورسلين الشاملة كلياً في المكسيك
للحصول على ابتسامة فعالة من حيث التكلفة، تقدم المكسيك باقات قشور الأسنان الخزفية الشاملة كلياً. تغطي هذه الباقات الفينير وإجراءات الأسنان وأحياناً الإقامة.
➕ يضمن وجود معمل أسنان داخلي مراقبة الجودة والإشراف بشكل أكبر أثناء عملية الإنشاء، خاصة لإنتاج قشور البورسلين باستخدام مواد ممتازة.
-
🦷 قشرة الأسنان. قشور أسنان عالية الجودة مصممة خصيصاً لتحسين الابتسامة.
-
🗣️ استشارات. تخطيط علاجي مخصص مع أفضل أطباء الأسنان المتخصصين في الفينير.
-
📐 تصميم الابتسامة الرقمية. تقنية CAD/CAM لمعاينة ابتسامة جديدة.
-
✈️ ترتيبات السفر. المساعدة في الرحلات الجوية والإقامة.
-
🚗 الانتقالات. المواصلات بين المطار والفندق والعيادة.
💚دعم على مدار الساعة طوال أيام الأسبوع. مساعدة مستمرة من منسق طبي تابع لـ Bookimed.
تقدم Bookimed باقات قشرة البورسلين الشاملة كلياً مع العيادات الشريكة. غالباً ما يتمتع العملاء بأسعار أقل مقارنةً بالحجز المباشر. يمكن للصفقات الحصرية والعروض محدودة الوقت أن توفر المزيد من التوفير على علاجات الفينير في الخارج.
ماركات قشور الأسنان في المكسيك
في المكسيك، يمكن للمرضى الذين يبحثون عن قشور الأسنان عالية الجودة في المكسيك الوصول إلى العلامات التجارية المشهورة عالمياً.
-
تقدملومينيرز قشور الأسنان الرقيقة جداً التي لا تحتاج إلى تحضير والتي تقلل من تصغير الأسنان، بينما تشتهر قشور إيماكس بمتانتها ومظهرها الطبيعي.
-
توفرVita Zahnfabrik مجموعة من خيارات البورسلين المبهجة من الناحية الجمالية، وتوفر Cerinate قشور الخزف المخصصة بتقنية متقدمة لابتسامة مثالية.
-
هذه العلامات التجارية، مثل Kuraray و IPS e.max، لا تشتهر فقط بميزاتها الاستثنائية ولكن تستخدمها أيضًا عيادات الأسنان المكسيكية الرائدة. وهذا يضمن حصول المرضى على رعاية ونتائج من الدرجة الأولى.
أفضل المدن لقشرة الأسنان في المكسيك
تيخوانا
تعد المدينة مركزًا رئيسيًا لسياحة الأسنان مع مجموعة واسعة من الخيارات للعناية بالأسنان عالية الجودة وبأسعار معقولة، بما في ذلك زراعة الأسنان وتبييض الأسنان والقشور الخزفية المؤقتة والفينير في تيخوانا، المكسيك. يقدم خدمات شاملة بما في ذلك طب الأسنان العام والإجراءات التجميلية والعلاجات المتخصصة. بالنسبة لأولئك الذين يتطلعون إلى تحسين ابتسامتهم، تقدم قشور البورسلين تيخوانا المكسيك خيارًا فعالاً من حيث التكلفة.
المميزات
-
🗺️ القرب من الولايات المتحدة. تقع على بُعد حوالي 20 دقيقة فقط من الحدود الأمريكية المكسيكية، مما يجعل الوصول إليها سهلاً للغاية بالنسبة للمرضى الأمريكيين.
-
📜 رعاية عالية الجودة. العديد من العيادات في تيخوانا ولوس ألجودونيس معتمدة من قبل منظمات مثل الجمعية الأمريكية لطب الأسنان (ADA)، والجمعية الدولية لطب الأسنان التجميلي (ISAD)
-
💲أسعار معقولة. تتراوح تكلفة قشور البورسلين في تيخوانا ما بين 280 دولار و 1,200 دولار لكل سن. تتراوح قشور الأسنان الكاملة للفم من 4,480 دولار إلى 9,600 دولار.
كون
-
🌆البيئة المزدحمة. يمكن أن تكون تيخوانا مزدحمة، مما قد يؤثر على التجربة الكلية.
لوس الجودونيس
يختار العديد من المرضى لوس ألغودونيس قشور البورسلين لعلاج الأسنان بأسعار معقولة وعالية الجودة، وهي وجهة شهيرة لسياحة الأسنان مع كثافة عالية من عيادات الأسنان. تشتهر بتخصصها في خدمات طب الأسنان، وتجتذب العديد من المرضى الدوليين الباحثين عن رعاية ميسورة التكلفة.
الإيجابيات
-
💲فعالة من حيث التكلفة. تشتهر ببعض من أقل الأسعار لعمليات الأسنان في المكسيك، حيث تتراوح تكلفة قشور البورسلين بين 280 و600 دولار أمريكي لكل سن.
-
🦷تركز على سياحة الأسنان. المدينة مخصصة للعناية بالأسنان، حيث يوجد بها عدد كبير من العيادات والأخصائيين.
-
👩🏻⚕️Experienced أطباء الأسنان. موطن للعديد من أطباء الأسنان المهرة ذوي الخبرة الواسعة في طب الأسنان التجميلي والعام
سلبيات
-
🌄 مدينة صغيرة. عدد أقل من وسائل الراحة وخيارات الترفيه مقارنة بالمدن الكبيرة. تركز المدينة بشكل أكبر على خدمات طب الأسنان.
أفضل عيادات قشور البورسلين في المكسيك
يمكن أن يكون التفكير في العناية بالأسنان في المكسيك خطوة مثيرة نحو تحقيق ابتسامة مشرقة. ولتحسين تجربتهم وضمان تحول ناجح، يجب على المرضى أن يضعوا هذه الإرشادات في الاعتبار:
-
اذهب إلى أطباء الأسنان التجميليين الذين يتمتعون بخبرة ومؤهلات مثبتة في قشور البورسلين.
-
تقييم ملاحظات المرضى لفهم جودة الرعاية والرضا العام.
-
التأكد من أن أفضل عيادة أسنان مجهزة بالتكنولوجيا الحديثة.
💚 تتعاونBookimed مع عيادات معتمدة لضمان معايير عالية من الرعاية وتوفير راحة البال طوال رحلة العلاج.
تستخدمسياسة تصنيف العيادات الخاصة بـ Bookimed نظاماً آلياً لتصنيف العيادات. يأخذ هذا النظام في الاعتبار عوامل مثل حجم المرضى والمراجعات وبرامج العلاج وأوقات الاستجابة واكتمال الملف الشخصي. يتم تحديث التصنيفات أسبوعياً للحفاظ على تحديث المعلومات ودقتها.
عملية الحصول على قشرة الأسنان في المكسيك
يبدأ الحصول على الفينير في المكسيك بتقييم أولي للأسنان، حيث يتشاور المرضى مع أطباء الأسنان التجميليين الخبراء. يناقشون أهدافهم ويخضعون لفحص شامل. يتم وضع خطة العلاج، وغالباً ما يتم استخدام التكنولوجيا الرقمية وطب الأسنان بالليزر لمعاينة النتائج.
بعد ذلك، يقوم طبيب الأسنان بتحضير الأسنان عن طريق إزالة طبقة رقيقة من مينا الأسنان وأخذ انطباعات لصنع قشور البورسلين المخصصة. ثم يتم تصنيع القشرة، وعادةً ما يستغرق الأمر من بضعة أيام إلى بضعة أسابيع. يمكن استخدام القشرة المؤقتة خلال هذه الفترة.
وبمجرد أن تصبح القشرة الرقيقة جداً جاهزة، يتم تركيبها وتثبيتها على الأسنان. تضمن زيارة المتابعة أن القشرة، بما في ذلك قشور إيماكس البورسلين، مضبوطة تماماً وتعمل بشكل جيد.
هل من الآمن الحصول على قشرة الأسنان في المكسيك؟
يجد معظم المرضى أن العملية آمنة لأن العيادات المعتمدة وأطباء الأسنان المهرة يلتزمون بمعايير عالية. ومع ذلك، من الضروري أن تتذكر أن هناك مخاطر، مثل أي إجراء طبي.
👉 إن معدلات البقاء المرتفعة التي بلغت 96% بعد 10 سنوات و91% بعد 20 سنة من التجربة السريرية العشوائية تسلط الضوء على متانة قشور البورسلين وفعاليتها على المدى الطويل. وهذا ما جعلها خياراً موثوقاً لتحقيق ابتسامة جميلة والحفاظ عليها لسنوات عديدة.
المخاطر المحتملة للحصول على الفينير في المكسيك:
-
العدوى. خطر الإصابة بالعدوى إذا لم يتم اتباع بروتوكولات النظافة.
-
التركيب غير المناسب. قد تسبب قشور الفينير انزعاجاً أو اختلالاً في المحاذاة.
-
مشكلات المتانة. يمكن أن تتكسر القشرة أو تتشقق مع العناية غير المناسبة.
-
تفاعلات الحساسية. مخاطر نادرة لردود الفعل التحسسية تجاه المواد.
-
الحساسية. احتمال زيادة حساسية الأسنان بعد العملية.
الرعاية اللاحقة والصيانة
للحفاظ على مظهر القشرة رائعاً لسنوات، اتبع نصائح العناية البسيطة التالية:
-
🦷 العناية اليومية: استخدم فرشاة أسنان ناعمة وخيط تنظيف الأسنان يومياً للحفاظ على صحة القشرة والأسنان.
-
🚭 تجنب العوامل المسببة للبقع: تجنب الأطعمة والمشروبات التي تسبب تلطيخ قشور الأسنان وتجنب التدخين للحفاظ على بريقها.
-
🧑⚕️ الفحوصات المنتظمة: قم بزيارة طبيب أسنانك بانتظام لإجراء الفحوصات والتنظيف للحفاظ على قشور الأسنان في أفضل حالاتها.
-
📅 متابعة الرعاية: أخبر طبيب أسنانك بأي مشاكل على الفور واتبع جميع تعليمات الرعاية اللاحقة.
بدائل تجميل الأسنان التجميلية لقشرة الأسنان
عند التفكير في تحسينات الأسنان، هناك العديد من البدائل الفعالة لقشرة البورسلين:
- التيجان والجسور. ترميم الأسنان التالفة، والتي يمكن أن تكون مصنوعة من البورسلين أو المركب أو المعدن.
- الغرسات وأطقم الأسنان. تتوفر خيارات موثوقة لاستبدال الأسنان المفقودة بمواد مماثلة.
- علاج تقويم الأسنان. يشمل تقويم الأسنان التقليدي والمصففات الشفافة الحديثة لتقويم الأسنان.
كل خيار له فوائد فريدة ويعالج مشاكل الأسنان المختلفة، مما يوفر بدائل قيمة لقشرة البورسلين في المكسيك.
| الخيار | المزايا | السلبيات |
| قشور البورسلين |
- متينة وطويلة الأمد. - مظهر طبيعي. - مقاومة للبقع. |
- تكلفة أعلى. - تتطلب تصغير الأسنان. - تتطلب زيارات متعددة. |
| ربط الأسنان |
- إجراء سريع (زيارة واحدة). - فعالة من حيث التكلفة. - طفيفة التوغل. |
- أقل متانة، قد تحتاج إلى الاستبدال. - عرضة للتلطيخ. - تقتصر على التحسينات التجميلية الطفيفة ... |
| تبييض الأسنان |
- نتائج فورية. |
- مؤقت، قد يتطلب لمسات مؤقتة. |
|
- متينة للغاية. |
- أكثر توغلاً (إزالة بنية الأسنان). |
|
|
- يصحح مشاكل المحاذاة. |
- تستغرق وقتاً طويلاً (من أشهر إلى سنوات). |
المراجع
- العثمان ي.، بامسعود م. س. نجاح قشور الأسنان وفقًا لتصميم التحضير ونوع المادة. Open Access Macedonian Journal of Medical Sciences. 2018. Vol. 6, no. 12. P. 2402-2408. URL: https://doi.org/10.3889/oamjms.2018.353 (تاريخ الوصول: 06.09.2024).
- الجزائري ي. ح. معدلات بقاء قشور البورسلين المصفحة: مراجعة منهجية. المجلة الأوروبية لطب الأسنان. 2020. URL: https://doi.org/10.1055/s-0040-1715914 (تاريخ الوصول: 06.09.2024).
- Smielak B., Armata O., Bojar W. A مستقبلية تحليل مقارن لمعدلات بقاء القشرة الخزفية التقليدية مقابل القشرة الخزفية غير المجهزة/المتعدية على مدى فترة متوسطة تبلغ 9 سنوات. التحقيقات السريرية للفم. 2021. Vol. 26, no. 3. P. 3049-3059. URL: https://doi.org/10.1007/s00784-021-04289-6 (تاريخ الوصول: 06.09.2024).








